Search
Menu
Medicine. Technology. Leadership
+7 495 663 95 01
+7 495 663 95 01
RU
Main / Solutions / Radiology / Stitching

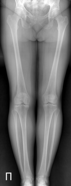
Stitching

 

Сшивка – это методика лучевой диагностики, позволяющая из серии снимков смежных областей тела пациента получить единое изображение всего тела целиком или его протяженной части.

Преимущества методики

  • Точность. Современные технологии обеспечивают бесшовное объединение снимков, исключая артефакты, которые могут влиять на точность диагностики.
  • Удобство для пациента и врача. Автоматизация процесса позволяет сократить время исследования и минимизировать необходимость повторных снимков.
  • Универсальность. Методика подходит для диагностики как взрослых, так и детей, включая пациентов с ограниченной подвижностью.

В современных рентгеновских аппаратах процесс полностью автоматизирован. Лаборанту достаточно задать интересующую область исследования, а съемка и объединение снимков выполняются системой без вмешательства оператора.

За одно обследование можно получить изображения:

  • Полной длины конечностей.
  • Позвоночника.
  • Функциональных проб в положении стоя.
  • Нижних конечностей с нагрузкой.

 

Методика «сшивки» используется в рентгенологической практике для получения единого изображения всего тела или протяженной части анатомической области. Это особенно актуально при диагностике следующих состояний:

  • Заболевания и травмы опорно-двигательного аппарата.
  • Подготовка и контроль при протезировании.
  • Костно-травматические повреждения.
  • Ревматоидный артрит.
  • Приобретенные и врожденные анатомические изменения конечностей.
  • Оценка длины и симметрии конечностей.

 

Список рекомендуемой литературы:

Схема алгоритма сшивки рентгеновских изображений состоит из следующих этапов:

  • Получение снимков
    серия рентгеновских изображений с небольшим перекрытием.
  • Фильтрация
    удаление шума для улучшения качества.
  • Обнаружение ключевых точек
    выделение краёв, углов и характерных деталей.
  • Сравнение перекрывающихся областей
    поиск совпадающих признаков.
  • Определение смещения
    расчёт сдвига, поворота и масштаба.
  • Совмещение
    точное выравнивание снимков.
  • Сглаживание переходов
    корректировка яркости и плавное объединение в единое изображение.